BRAND STORY
디지털 임플란트
수면치료
티파네이트
치아교정
일반진료
TIFFANY
TIFFANY DENTAL CLINIC
Tiffany
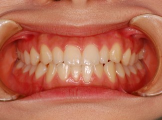
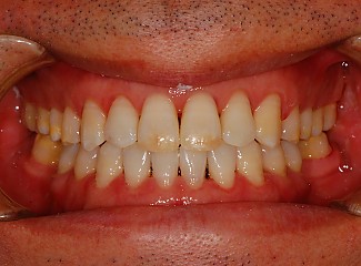
티파니치과의 치료 전/후 케이스
TOTAL 7개